Oral Cysts & Tumours

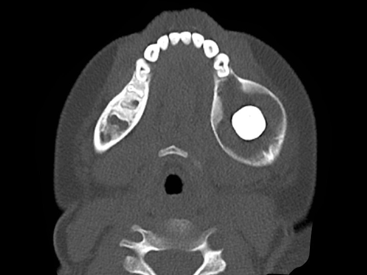
Large cyst surrounding tooth in the mandible
About Oral cysts and tumours
Oral cysts and tumours can affect the mouth and associated structures such as the lips, palate, teeth, jaws, tongue and gums.
The complex anatomy of the head and neck region and the requirement for knowledge of Medicine and Dentistry make accurate diagnosis of oral pathology a clinical challenge. Often patients are referred to a specialist Oral and Maxillofacial Surgeon to examine, investigate, diagnose and coordinate the management of the pathology.
About mouth diseases
The most serious disease of the mouth is oral cancer, and any lesions that are found to be malignant (cancerous) usually need to be surgically removed. Benign (non-cancerous) lesions are also usually surgically removed as they can cause damage to surrounding tissues and often the benign diagnosis requires the lesion to be removed and sent to a pathologist to examine under a microscope. This includes cysts (fluid filled lesions) and tumors (solid lesions). Both can result in swelling, pain and infection. They can also increase in size, affecting nearby teeth and causing destruction of the jaw bone.
How do you treat diseases of the mouth?
At the initial consultation Dr Tuckett will take a thorough history and examination while also undertaking cancer screening and arranging appropriate investigations.
Dr Tuckett will discuss with you the most likely diagnosis and advise the appropriate investigations to confirm the diagnosis and/or exclude cancer. Investigations can include biopsy of the lump or lesion, imaging such as an Orthopantomogram (OPG X-ray), Ultrasound, CT, MRI or PET scans. Depending on the pathology you may be required to have a blood test.
It is important for all patients to know that oral cancer is rare compared to the many benign lesions of the oral cavity. However, prompt assessment is necessary because if cancer is not detected early, then treatment outcomes can be adversely affected.
Where will I have my surgery?
Depending on your personal circumstances and the location of the lesion, you may have the option of having a biopsy performed on the day of your initial consultation. This will be performed under local anaesthetic with injections to numb the area so you do not feel any discomfort.
A small sample of tissue is taken and sent to the laboratory for review and microscopic analysis by a specialist Pathologist sometimes this can incur a fee from the pathologist. Dr Tuckett will usually have the results of the biopsy within one week and will schedule an appointment for you to discuss the results and any further treatment that is required.
Definitive treatment of cancerous lesions and larger benign lesions is performed in hospital under general anaesthetic.
What is recovery like after my procedure?
After your procedure, Dr Tuckett will provide you with specific instructions regarding your post-operative care, general instructions are available here. Any prescriptions for antibiotics, pain relief or mouthwash will also be given to you.
You will receive a follow-up phone call from Dr Tuckett or his staff in the couple of days after your surgery. If you remain in hospital, Dr Tuckett will continue to see you each day until you are discharged.
A post-operative follow-up appointment is usually scheduled for 2 weeks after your procedure, unless otherwise advised. Dr Tuckett will also provide you with his private mobile phone number if you have any concerns. Do not hesitate to contact him.

About Dr Joel Tuckett
Dr Tuckett is a contemporarily trained Oral and Maxillofacial Surgeon. He engages in a patient centred approach to ensure a caring and comfortable journey from initial consultation to discharge.
Dr Tuckett is and internationally published author in the fields of Facial trauma, Antibiotic stewardship, Radiotherapy induced Xerostomia, Parotid surgery and Head and Neck cancer. He is a senior lecturer at the University of Queensland where he educates both medical and dental students.
He currently has public appointments at the Princess Alexandra, STARS and Mackay Base hospitals where he works to train the new generation of surgeon.
